Prothèse de genou à Annecy - Dr Rollier
Le Dr Rollier est spécialiste reconnu de la chirurgie de prothèse du genou, notamment chez le patient sportif
QU'EST CE QU’UNE PROTHESE DE GENOU ?
Une prothèse de genou a pour but de remplacer par une pièce en métal et en plastique l’articulation du genou lorsqu’elle est malade. La cause la plus souvent rencontrée est l’arthrose (usure du cartilage), mais d’autres affections comme l’ostéonécrose aseptique (atteinte de l’os sous le cartilage par défaut d’apport sanguin) sont aussi possibles.
On distingue 2 types de prothèse : les prothèses partielles ou uni compartimentales (« petites prothèses ») et les prothèses totales.
Les prothèses partielles : gardent globalement les structures principales et l’enveloppe du genou ; elles constituent un resurfaçage de la zone atteinte. Elles peuvent concerner le compartiment interne, externe ou la rotule. Leurs indications sont limitées. En effet elles ne peuvent pas être utilisée de manière courante en cas de grosse désaxation de la jambe, de déficit de mobilité (en particulier en extension), en absence de ligaments croisés fonctionnels, ou en cas d’excès de poids.
Les prothèses totales : ont pour but de remplacer les 3 compartiments du genou, réaxer la jambe et récupérer la mobilité du genou en particulier l’extension lorsqu’elle est déficitaire. Au cours de cette intervention les ligaments croisés sont le plus souvent sacrifiés, mais les ligaments latéraux et l’enveloppe globale du genou est préservée. L’absence des ligaments croisé sera compensé dans le dessin de la prothèse afin de stabiliser et favoriser le fonctionnement de la prothèse tout en limitant tant que possible de solliciter ses ancrages.
Les prothèses sont stabilisées initialement par une impaction en force et leur fixation à l’os peut se faire soit à l’aide d’un ciment biologique soit un revêtement de surface spécifique qui va la faire consolider comme une fracture au contact de l’os pour sa fixation à long terme.
QUAND POSE T-ON UNE PROTHESE DE GENOU ?
L’indication d’une prothèse dépend bien de facteurs subjectifs et objectifs.
Les facteurs subjectifs sont principalement représentés par la gêne fonctionnelle rapportée par le patient : à savoir la douleur, les limitations dans ses activités habituelles.
On envisage le plus souvent la pose d’une prothèse lorsque les douleurs sont quasi quotidiennes, nécessitent la prise de traitements pour la douleur au moins occasionnelle et entrainent un retentissement sur les activités quotidiennes simples (périmètre de marche inférieur à 60 mn, difficultés à monter et descendre les escaliers…)
Les facteurs objectifs sont liés à l’examen clinique et au bilan radiologique.
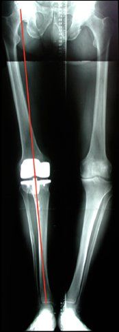
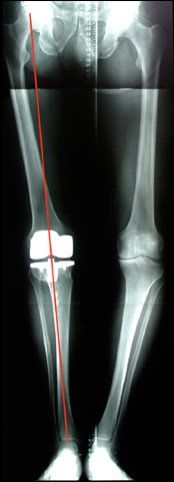
On recherche essentiellement à l’examen : une désaxation de la jambe constitutionnelle mais aussi liée à l’usure du cartilage, une perte de mobilité en particulier de l’extension, une perte musculaire (amyotrophie) qui traduit une sous utilisation du genou. On détermine également un retentissement du genou atteint sur le dos, la hanche ou la cheville.
L’analyse de la marche recherche une boiterie et un déséquilibre du bassin secondaire à l’altération de la fonction du genou.
L’étude des radiographies analyse la déformation réelle, les articulations sus et sou jacente et le degré d’usure. Il est important de préciser que l’indication de prothèse se pose dans la majorité des cas devant un bilan radiologique standard. Une IRM ne doit donc pas être le principal examen.
L’âge est également un facteur à prendre en compte et sera a corréler avec les éléments précédents et les autres possibilités thérapeutiques que l’on peut envisager aux vue de l’état de l’articulation. Dans certains cas vouloir gagner 6 mois ou 1 an chez un patient jeune peut être plus délétère si le genou est déjà très déficitaire. A contrario envisager une prothèse de genou pour permettre uniquement au patient de poursuivre ses activités est discutable.
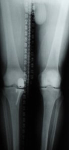
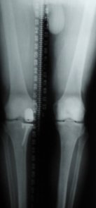
Désaxation et perte d’extension
ButtonQU’ELLES SONT LES SUITES POST OPERATOIRES AVEC UNE PROTHESE DE GENOU ?
Comme pour toute chirurgie articulaire, nous utilisons des protocoles de récupérations rapide, afin d’améliorer le vécu de l’opération par le patient et diminuer sa durée d’hospitalisation. Ces derniers sont basés sur une optimisation du traitement de la douleur et de l’anesthésie, une technique chirurgicale adaptée et une rééducation précoce visant à limiter autant que possible l’incapacité post- opératoire.
Quoi qu’il en soit, la récupération réelle après une prothèse de genou demande 6 à 12 mois. Le délai dépend beaucoup des déficit préopératoire (déformation, muscle, mobilité), c’est pourquoi attendre trop longtemps avant de se faire opérer peut-être préjudiciable à la récupération.
La durée d’hospitalisation dure en général 3 à 4 jours. Un retour a domicile est en général possible mais selon les cas un séjour en centre de rééducation peut être préférable. Une rééducation en hôpital de jour peut également être proposée.
Après l’opération, le patient peut appuyer complètement sur sa jambe sous couvert de cannes canadiennes qu’il gardera entre 3 semaines et 1 mois en moyenne. Aucune immobilisation n’est nécessaire et la rééducation est débutée le jour de la chirurgie.
L’objectif est de retrouver une vie quotidienne correcte après 1 mois à 1 mois et demi.
Néanmoins les phénomènes douloureux, notamment la nuit peuvent persister plusieurs mois et il n ‘est pas rare de prendre des traitements antalgiques de manière ponctuelle 3 à 4 mois après la chirurgie. Le genou peut également rester chaud et gonflé pendant 6 à 8 mois après la chirurgie.
Il faut garder à l’esprit qu’une prothèse de genou n’est pas un genou normal et que peu de patients même après plusieurs mois disent oublier complètement leur genou opéré, même s’ils peuvent pratiquer leurs activités habituelles sans réelle limitation.
PROTHESE DE GENOU et SUJET ACTIF
Nous sommes de plus en plus confrontés a des patients plus jeunes (moins de 60 ans) pour lesquels la pose d’une prothèse est inéluctable. Il s’agit en général de patients suivis médicalement depuis plusieurs années, qui ont déjà bénéficié d’infiltrations, de rééducation ou d’autres interventions chirurgicales, pour lesquels la gène et l’atteinte articulaire est telle que seule une prothèse est envisageable.
Il faut bien comprendre que la pose d’une prothèse à ces âges, nécessite certaines mises en garde.
Tout d’abord, il y a un risque d’usure prématuré lorsque l‘on pose une prothèse avant 60 ans. On ne peut pas exclure qu’une reprise chirurgicale pour changement de cette dernière soit nécessaire au cours de la vie du patient. Afin de réaliser ce changement au moment opportun, un suivi post opératoire avec visite chez le chirurgien et radiographies tous les 5 ans est souhaitable, même en absence de symptômes.
Il faut également se rappeler qu’une prothèse de genou, n ‘est pas un genou normal et que certaines limitations peuvent persister (douleurs à l’effort, flexion limitée, inflammation…) en cas d’activité physique régulière. C ‘est pourquoi, l’indication de prothèse n ‘es pas posée pour permettre de poursuivre des activités physiques mais pour une gène quotidienne principalement.
Il faut tenir compte de ces limites notamment par rapport à l’activité professionnelle du patient. Un travailleur physique pourra nécessiter un arrêt de travail de 4 à 6 mois en post opératoire et il ne faut jamais négliger un reclassement professionnel selon les cas. Ce d’autant plus que les genoux opérés à cet âge sont fréquemment des genoux déjà déficitaires en préopératoire, ou opérés à plusieurs reprises.
Les activités sportives sont réalisables avec une prothèse de genou, mais il faut considérer les mêmes limites que celles évoquées si dessus. Il faut également prendre en compte les risque d’usure mais également traumatiques ou micro traumatiques plus fréquents au niveau du genou que de la hanche par exemple. En général, les patients reprennent le sport pour lesquels ils ont un bon niveau de pratique, une motivation à poursuivre et pour lequel le délai d‘interruption n est pas trop long (inferieur à 1 an).
Pour toutes ces raisons, la pose d’une prothèse chez un sujet jeune et actif doit être posée au cas par cas. Les limites, risques, délai de récupération doivent être bien assimilés par le patient avant la chirurgie, car une fois la prothèse posée on ne peut plus revenir en arrière.
FOCUS: PROTHESES ET ULTRA-TRAIL UTMB® - Sommet Mondial du Trail
Document PDF à télécharger au sujet des prothèses de genoux et de l'ultra-trail du Mont-Blanc UTMB® - Sommet Mondial du Trail
FOCUS: LA REPRISE SPORTIVE APRES PROTHESE DE GENOU
Document PDF à télécharger: Comment faciliter la reprise sportive après prothèse de genou





